Home
Version Francaise
Products
Seminars
Techniques
Catalogue
Corporate Profile
Contact Us
Mini Clinic
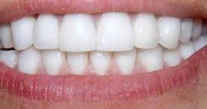
Subtle Internal Mkt
Depth Cutting Burs
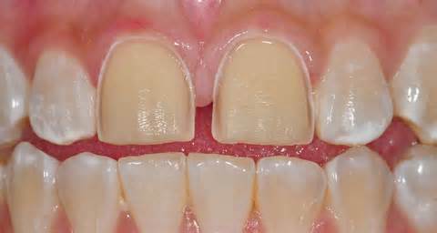
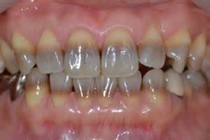
Opaquer added to Stained Tooth
Great Products to Have on Hand
Great Products to Have on Hand
Home
Version Francaise
Products
Seminars
Techniques
Catalogue
Corporate Profile
Contact Us