Home   Version Francaise   Products    Seminars   Techniques   Catalogue   Corporate Profile   Contact Us

    Emergency Broken Tooth, Quick provisional indirect fix by                                     Russell J. Beggs, DMD

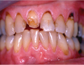
What do you do when a new patient, who happens to be the spouse of one of your best patients, rushes into your office on a Friday afternoon with a major cosmetic problem, namely, a broken anterior tooth (figure 1)? You’re already running 20 minutes late and, to make matters worse, both you and the new patient are leaving town for the weekend. The case described in this article represents this exact situation. Hopefully, the technique I used to provide a “quick fix” for this problem will benefit others who find themselves facing a similar dilemma. It is important to emphasize that the key to success in such situations is LOW EXPECTATIONS! The treatment provided is not intended to be a permanent solution, but rather an emergency procedure designed to provide a temporary cosmetic solution until more definitive treatment can be provided

1.Using a dead soft wax, do a quick mock-up with the patient biting in a centric relationship (figure 2). If preferred you may use either an unfilled resin (E-bond, Danville Materials or Heliobond, Vivadent) or instrument lube (such as Danlube, Danville Materials) on a plastic instrument to shape as desired.

2.Take a quick closed bite impression (figure 3, 90 seconds with Mono-Phase by Danville Materials). If the use of a light-cured material is desired, it is possible to use a clear impression material such as Clearbite Impression Material, Danville Materials

3.Remove the impression. Expect to remove the wax with the impression, then take out the wax (Figures 4 and 5). Once the wax has been removed, the tooth can be prepared for a bonded provisional (or economical final) restoration as desired. I prefer to Micro Etch or Air Abrade the host tooth (teeth) before bonding in the restoration. For this restoration* I would recommend the use of Prelude SE and Link (Danville Materials) as the preferred bonding agent. I would use Turbo Temp if this was intended to be a short term restoration; I would use Starfill 2B if this was intended to be a final or longer term restoration.

4.Place Turbo Temp 2 (an auto-cure composite temporary material), and have the patient bite into centric for 2.5 minutes. Trim at the margins with a 12a blade, cutting away the excess (figures 6 and 7). The flash is easily removed once it has been trimmed (figure 8).

5.Shaping with a high speed can quickly refine the final shape (figure 9)

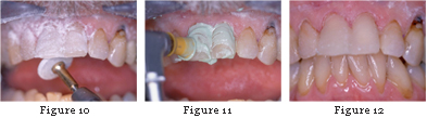
6.I like to do a quick final shaping with a porcelain polishing wheel (Brassler) to smooth lingual and remove horizontal lines on facial (figure 10)

7.Do a quick & light polish with prophy paste (figure 11), check with floss and patient is ready to go.

Quick restoration is appreciated by patient. Patients are advised to go easy on these restorations until we can get them back to evaluate and treat their mouth as necessary. Thanks for looking, Russell J. Beggs DMD (rjbeggs@pacbell.net) Note: I recommend that you save the impression in a plastic bag with date and patients name on it for an even easier redo (Such as a new temp or when a new restoration is fabricated) if needed. * If this tooth were more enamel than dentin, I would use “Prelude TE” (Total Etch). I would phosphoric acid etch the tooth (Star Etch for 15 seconds), wash, blot with a cotton roll and apply “Prelude 2”(DM), rubbing it in for 10 seconds, blowing it off and brushing “link” (DM) on before seating the restorative material (Turbo Temp 2 or Starfill 2B).